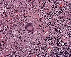
Langhans giant cell

Granulation tissue with a poorly formed granuloma to the left of centre. Within this area there is a multinucleate giant cell of the Langhans type. The patient had a healing mycobacterial infection of the skin (Mycobacterium ulcerans infection).

Langhans giant cells (LGC) are giant cells found in granulomatous conditions.

They are formed by the fusion of epithelioid cells (macrophages), and contain nuclei arranged in a horseshoe-shaped pattern in the cell periphery.[1]

Although traditionally their presence was associated with tuberculosis, they are not specific for tuberculosis or even for mycobacterial disease. In fact, they are found in nearly every form of granulomatous disease, regardless of etiology.

Terminology

Langhans giant cells are named after Theodor Langhans (1839–1915), a German pathologist.[2]

Causes

In 2012, a research paper showed that when activated CD4+ T cells and monocytes are in close contact, interaction of CD40-CD40L between these two cells and subsequent IFNγ secretion by the T cells causes upregulation and secretion of fusion-related molecule DC-STAMP (dendritic cell-specific transmembrane protein) by the monocytes, which results in LGC formation.[3]

Clinical significance

Langhans giant cells are often found in transbronchial lung biopsies or lymph node biopsies in patients with sarcoidosis.[4] They are also commonly found in tuberculous granulomas of tuberculosis.[5]

References

  1. ^ "Pulmonary Pathology". Retrieved 2008-11-21.
  2. ^ Pritchard J, Foley P, Wong H (September 2003). "Langerhans and Langhans: what's misleading in a name?". Lancet. 362 (9387): 922. doi:10.1016/S0140-6736(03)14323-1. PMID 13678997. S2CID 37714847.
  3. ^ Sakai H, Okafuji I, Nishikomori R, et al. (January 2012). "The CD40-CD40L axis and IFN-γ play critical roles in Langhans giant cell formation". Int. Immunol. 24 (1): 5–15. doi:10.1093/intimm/dxr088. PMID 22058328.
  4. ^ Sam, Amir H.; James T.H. Teo (2010). Rapid Medicine. Wiley-Blackwell. ISBN 978-1405183239.
  5. ^ Vinay Kumar; Abul K. Abbas; Jon C. Aster, eds. (2021). Robbins & Cotran pathologic basis of disease (Tenth ed.). Philadelphia, PA. ISBN 978-0-323-53113-9. OCLC 1191840836.{{cite book}}: CS1 maint: location missing publisher (link)