Intersex healthcare

Intersex healthcare differs from the healthcare of non-intersex (often referred to as endosex) people. This due to stigma and potential health complications arising from their bodily variations. People with intersex variations, also called disorders of sex development, have hormonal, genetic, or anatomical differences unexpected of an endosex male or female. This can include, but is not limited to, uncommon sex chromosomes like XXY or X, reproductive organs with a mix of male and female structures, underdeveloped reproductive organs, etc. Healthcare for intersex people can include treatments for one's mental, cognitive, physical, and sexual health. This can include hormone replacement, peer support, medical assistance for conceiving children, and other treatments depending on the needs of the individual. The healthcare needs of intersex people vary depending on which variations they have. Intersex conditions are diagnosed prenatally (before birth), at birth, or later in life via genetic and hormone testing as well as medical imaging.

Intersex healthcare has historically focused on patients fitting physical and social norms for one's sex. This includes concealing information from patients and medically unnecessary surgeries. Intersex organizations advocate to end these practices and make further changes to respect and include intersex people. Medical trauma, lack of research, and lack of access can hinder quality healthcare for intersex people. The medicalization of intersex conditions and the use of the term 'disorders of sex development' are disputed as well.

Presentation and diagnosis

Variations in sex characteristics, also called intersex or disorders in sex development, refer to people with innate genetic, hormonal, or physical sex characteristics outside of medical norms for males or females. It refers to a wide spectrum of variations to genitals, hormones, chromosomes and/or reproductive organs."[1] Intersex conditions can result in a combination of male and female structures, such as having both a womb and testes; atypical genital appearance, such as a closed vagina; or missing or underdeveloped reproductive organs, such as a vaginal opening with no womb.[2] Other characteristics include the presence of micropenis, hypospadias, uretha opening into the vagina, partly fused labia, large clitoris, electrolyte imbalance, undescended testes for males, and masses in the labia or groin for females.[3] Some intersex conditions may result in genitals expected of one's sex, but differing chromosomes (having only an X chromosome, XXY chromosomes, etc.)[2] Up to 1.7% of the general population is estimated to be intersex.[4] The cause of one's intersex variation is often unknown.[2] Some intersex conditions can be inherited from a child's parents; for example, congenital adrenal hyperplasia (CAH) can be inherited if both parents have a copy of the affected gene.[5]

Diagram of male, female, and ambiguous genitalia in cases of androgen insensitivity syndrome
Quigley scale showing different forms of genital development in cases of androgen insensitivity syndrome

The same intersex condition can have different presentations or severity. Androgen insensitivity syndrome (AIS) has 3 forms: complete androgen insensitivity syndrome (CAIS), partial androgen insensitivity syndrome (PAIS), and mild androgen insensitivity syndrome (MAIS). All forms of AIS include undescended testes. CAIS makes the body unable to respond to androgens, while PAIS and MAIS lead to the body having partial sensitivity to androgens. Those with CAIS present with female genitals but no womb or ovaries and those with MAIS have male genitals but are often infertile. Those with PAIS can present with male genitals, female genitals, or ambiguous genitals.[6]

CAH has different variants as well. 90 percent of cases take the form of 21-hydroxylase deficiency, also known as CAH 1, but can more rare variations such as 11β-hydroxylase deficiency and 17α-hydroxylase deficiency depending on which gene is affected. CAH 1 can have either a classical or nonclassical presentation. Three quarters of classical CAH cases involve salt imbalance causing symptoms such as vomiting, dehydration, and low blood pressure. One quarter of classical CAH cases include simple virilization (ambiguous or male external genitals with female reproductive organs). Nonclassical CAH presents symptoms later in life including early puberty, infertility, and hyperandrogenism (excessive male hormones).[7]

Mayer-Rokitansky-Küster-Hauser syndrome (MRKH) has two types which can produce different presentations. Type 1 only impacts the reproductive organs causing a lack of a uterus and cervix as well as a shallow vagina. Symptoms for type 1 MRKH are noticed at adolscense or adulthood, often due to the lack of a period. Type 2 MRKH produces symptoms in other parts of the body rather than only the reproductive organs. People born with type 2 MRKH may have heart defects, hearing loss, atypical vertebrae, abnormally formed kidneys, or only one kidney.[8][9] These congenital anomalies are evaluated via MRI or transabdominal ultrasonography.[10]

Intersex variations are diagnosed using physical exams, genetic testing, hormonal testing, and medical imaging or laproscopy.[11][12] Radiography and ultrasound diagnosis can be unreliable dependending on the age of the patient and the experience level of the operator. This can be an issue in developing countries, where skilled operators are scarce.[13] Getting a diagnosis by evaluating the individual's DNA molecules is preferred for future medical predictions, but is not always possible.[12] Intersex variations may become apparent at birth, during puberty, or while trying to have children.[14] Intersex variations may cause a delay in puberty, absence of puberty, or bodily changes unexpected for one's perceived sex.[3] Genetic counsellors can help an intersex person or their family understand their diagnosis and its genetic impacts on health.[15][16]

Some intersex variations can be detected before birth. Screening cell-free DNA (DNA fragments found in bodily fluids like plasma) can detect if a fetus has Turner syndrome or Klienfelter syndrome.[17][18] Ultrasounds may show ambiguous genitalia or genitals that do not match what is expected based on the sex chromosomes found in the cell-free DNA screening.[17][19][20] For those using in vitro fertilization, genetic testing before an embryo is implanted can detect intersex conditions such as congenital adrenal hyperplasia and androgen insensitivity syndrome (AIS).[21] 21-hydroxylase deficiency, also known as congenital adrenal hyperplasia 1, can be treated during pregnancy using a medication called dexamethasone to prevent ambiguous genitalia.[22][23]

Medical characterization and nomenclature

The term 'disorders of sex development', often abbreviated as DSD, is contentious as some organizations and intersex advocates believe that being intersex should not be pathologized. For instance, Planned Parenthood describes being intersex as a "naturally occurring variation" rather than a medical problem.[24] Professor Elizabeth Reis supports changing disorders of sex development to divergence of sex development, writing that "using divergence, intersex people would not be labeled as being in a physical state absolutely in need of repair."[25]

Some parents of intersex children prefer the term 'disorders of sex development' because the term intersex evokes ideas of sexuality or that their child is a third gender rather than a boy or girl.[25] Some people with intersex variations prefer using DSD instead of intersex because they see their variation as a medical condition rather than an identity.[26] 60 percent of Australian intersex people prefer the term 'intersex' or a related term such as 'intersex variation', and 3 percent prefer the term 'disorder of sex development' outside of seeking medical care.[27]

The term 'intersex' has been criticized by clinicians and parents who believe the term only applies to those with ambiguous genitals or whose chromosomes and anatomy do not align.[26] Disagreement remains over which variations should be considered intersex.[28]

Healthcare needs

Physical health

Bone health is a common concern for intersex patients. For instance, people with complete androgen insensitivity syndrome (CAIS) have low bone density as a result of "decreased circulating estrogen and skeletal resistance to androgen action."[29] Some intersex people no longer produce their own sex hormones due to receiving a gonadectomy (surgical removal of the gonads).[29] This necessitates the use of long term hormone therapy to maintain bone health.[30]

People with Turner syndrome, gonadal dysgenesis, Klinefelter syndrome and congenital adrenal hyperplasia also face issues with bone health, particularly osteopenia and osteoporosis.[31][32] In Klinefelter syndrome and gonadal dysgenesis, this is caused by insufficient sex hormones.[31] In CAH, it is due to excessive adrenal androgen as well as lifelong treatment with glucocorticoid, a type of steroid.[31][33][34] Bone health is maintained through monitoring bone mineral density using dual-energy x-ray absorptiometry and providing hormone replacement therapy to prevent osteoporosis.[35][36][32]

photo of person lying on an x-ray scanner
Example of dual-energy x-ray absorptiometry scanner

Hormone replacement serves additional purposes other than bone health. In those with CAH, steroids called mineralocorticoids help regulate salt and water in the body to prevent salt-wasting (an imbalance of salt in the body).[37][38]

In some intersex people, oestrogen or testosterone is needed to induce puberty.[39] This is important to help the body mature and develop secondary sex characters, to allow intersex people to develop alongside their peers, and prevent delayed intellectual, social, and emotional development.[39]

Some intersex variations are associated with an increased risk of cancer. Men with Klinefelter syndrome, especially those with mosaicism, are at a higher risk of dying from breast cancer than endosex men.[40] Those with Swyer syndrome are at an increased risk of developing cancer, specifically germ cell tumors, if atypical gonads are not removed.[35][41]

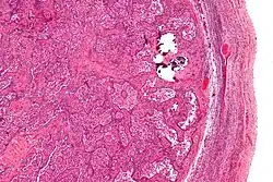
Gonadoblastomas are precancerous lesions that predominantly form in intersex people with gonadal dysgenesis and a Y chromosome.[42][43] This includes conditions such as Swyer syndrome or Turner syndrome with Y chromosome mosaicism.[44][42] These cancer risks are addressed using genetic screening and performing a gonadectomy if necessary.[42]

Micrograph of gonadoblastoma
Image of gonadoblastoma at low magnification

The undescended testes of those with androgen insensitivity syndrome also pose a cancer risk. Those with complete androgen insensitivity syndrome have a 3.6 percent chance of developing a malignant tumor by age 25 and a 33 percent chance by age 50, though malignancy before adulthood is rare.[42][45] Partial androgen insensitivity syndrome poses a higher cancer risks if undescended testes are present.[45] The risk for germ cell tumors from undescended testes is 15 to 50 percent, but the risk for testes surgically moved to the scrotum is unknown.[42] Orchiectomy, removal of the testes, is a preventative treatment option for these cancer risks.[45] For those raised male with partial androgen insensitivity syndrome, a procedure to put the testes into the scrotum called an orchiopexy is done to lower the risk of malignancy.[45]

Some intersex variations are associated with metabolic and cardiovascular conditions. Those with XY DSD are more likely to be born with heart defects.[12] Intersex variations in sex chromosomes are associated with an increased risk of both type one and type two diabetes.[12]

Turner syndrome, one such chromosomal intersex variation, is also associated with hypertension.[36] 23 to 50 percent of those with Turner syndrome are born with congenital heart abnormalities.[46] Fetuses with confirmed or suspected Turner syndrome should receive a fetal echocardiogram.[46] Children born with Turner syndrome and accompanying heart abnormalities should receive care from a pediatric cardiologist.[46]

Various intersex conditions coincide with kidney abnormalities. People with androgen insensitivity syndrome may have atypical kidneys or upper urinary tract.[12] Hypospadias may also be related to urinary tract anomalies, though data is conflicting.[12][47] People with Herlyn-Werner-Wunderlich syndrome can be born with one kidney.[48] Urinary tract ultrasounds can be used to check for kidney abnormalities in those with Herlyn-Werner-Wunderlich syndrome.[48]

Other types of anomalies may be present at birth. Most people born with campomelic dysplasia have micrognathism, a small lower jaw, and laryngomalacia, floppy cartilage in the larynx that obstructs one's airway.[49][50] Cleft palates are also present in most people born with the condition.[49] Cleft palates, severe laryngomalacia and micrognathia are treatable through surgery.[51][52][53]

Sexual health

Fertility varies depending on the intersex variations one has. For instance, people with Turner syndrome can become pregnant with donor eggs or, more rarely, become pregnant unassisted; meanwhile, men with 46 XX are always infertile.[54] Fertility counseling can be provided by a clinician to address fertility complications caused by the patient's intersex variation and what treatment options are available.[55]

Procedures such as testicular sperm extraction, in vitro fertilization, or receiving a uterus transplant can help some intersex people have children.[54] People with MRKH can produce children with a surrogate and in vitro fertilization of their own eggs. This is because those with MRKH are lacking or have an underdeveloped uterus and vagina, but typically have fully formed ovaries.[56] Since 2015, uterus transplants have allowed women with MRKH to give birth without a surrogate.[12]

Intracytoplasmic sperm injection, a type of in vitro fertilization in which sperm is directly injected into an egg cell, is another tool for assisted reproduction.[57] It can help people with 5-alpha-reductase type 2 deficiency or Klinefelter syndrome to have children.[54][58] It can also be used in some cases of ovotesticular DSD if the father is able to produce sperm and has not had his testes removed.[59] In vitro fertilization with donor eggs allows people with a uterus but no ovaries to give birth, such as in some cases of Swyer syndrome.[60][35]

Sperm injection inside petri dish. Diagram on left and photo on right.
Dish used for intracytoplasmic sperm injection, a type of in vitro fertilization used in cases of male infertility

Females with Turner syndrome lose their eggs at a fast rate compared to endosex females; before they are born, the majority of their egg cells are apoptopic, or in the process of dying.[61] Most people with Turner syndrome experience early menopause by the time they reach adulthood.[61] In some cases, cryopreservation is used to maintain reproductive options. For those with Turner syndrome who experience puberty and periods without medical intervention, primarily those with 45X/46XX mosaicism, eggs may be cryopreserved.[62][63] In 2022, the first successful live birth using this method on a mother with mosaic Turner syndrome was documented.[64]

Some intersex variations may result in increased risks of complications during pregnancy. Classic CAH is associated with higher risk of gestational diabetes.[56][65] Those with classic CAH are at a higher risk of needing to deliver via cesarean section if they have previously undergone vaginoplasty.[56][65] Those with CAH caused by 11-beta-hydroxylase deficiency often experience hypertension; it is advised that they receive care from cardiology specialists during pregnancy.[56] Sixty percent of women with Turner syndrome who become pregnant via egg donation experience complications such as pre-eclampsia, preterm birth, and intrauterine growth restriction.[66] There is also a risk of death for the mother due to root aortic dilation, or the ballooning of the large artery sending blood from the heart.[66][67] This can result in aortic dissection, the splitting of the aorta's walls causing blood to leak.[66][67] Women with Turner syndrome should be informed of this risk, undergo cardiac review prior to pregnancy, and receive care from a multidisciplinary team while pregnant.[66]

Some intersex people are more likely to experience sexual dissatisfaction or difficulty in sexual functioning. For example, 39.3 percent of men with Klinefelter syndrome and 37.1 to 44.1 percent of women with XY DSD are unsatisfied to very unsatisfied with their sex life compared to 20.8 percent of the general population. This is not universal across all intersex conditions as those with Turner syndrome and CAH report sex life satisfaction closer to that of the general population.[68]

Some intersex conditions are associated with genital dissatisfaction due to concerns about penile length, vaginal length, size of clitoris, etc.[68] Intersex people who have undergone genital surgery may experience reduced sexual sensation and functioning as a result.[69] As of 2020, young intersex people often experience sexual anxiety, and a quarter of intersex adults have not been in a romantic or sexual relationship.[70]

Research suggests intersex patients should be offered psychological support or sex therapy if they express anxiety about sexual function or fear of intimacy.[71] A sexologist can be included in a multidisciplinary team to help address sexual health concerns.[68] Hormone replacement therapy is used to maintain sexual functioning for some intersex conditions such as ovotesticular DSD.[72] For those with CAIS who have had a gonadectomy, androgen substitution can prove better for sexual well-being and ability to orgasm than oestrogen.[45]

Mental health

Intersex people are at a high risk of developing mental health disorders. A review of 18 studies found that intersex people were more likely to have depressive and anxiety disorders.[73] A survey of intersex adults in the U.S. found that respondents 61.1 percent reported having depressive disorders compared to 19 percent of the general adult population. Post traumatic stress disorder was also reported by 40.9 percent of those surveyed.[74]

Surgeries on intersex people as infants can be a cause of mental trauma. Scarring, infertility, and other health issues caused by such surgeries can result in shame, gender dysphoria, sexual dysfunction and feeling betrayal or devalued.[75] Stressful diagnosis procedures and medical treatments can feel like a challenge to one's gender identity, contributing to psychological distress and stigmatization.[73] Intersex students are often the target of abuse at school, especially in bathrooms and changing rooms. Students whose appearance do not fit expected gender norms are at even greater risk of mistreatment.[76] A survey in Mexico found that 26 percent of intersex respondents reported being bullied as children compared to about 15 percent of endosex respondents.[77] Intersex students are often told to keep medical treatments secret by family members or clinicians, leading to further isolation and untreated trauma.[76]

Intersex people are at an increased risk of suicide; in a European study, 6.8 percent of intersex people age 16 or older reporting having attempted suicide compared to 1.8 percent of the general population sampled.[78] Intersex people are more likely to experience suicidal thoughts as well.[73] In a Mexican survey, 16 percent of intersex respondents reported experiencing suicidal ideation compared to 10 percent of endosex women and 7 percent of endosex men.[77] Intersex people can face issues that worsen their mental health such as stigma and discrimination, bullying, family rejection, tension with partners about fertility, etc.[79][70]

It is not uncommon for intersex people born with ambiguous sex characteristics to experience gender dysphoria. A 2021 meta-analysis found that 15 percent of intersex people born with ambiguous sex characteristics experience gender identity disorder or gender dysphoria in adolescence or adulthood.[80] Those assigned female at birth with 5-alpha-reductase deficiency or 17-hydroxysteroid dehydrogenase deficiency have a high prevalence of gender dysphoria (53 percent for both conditions.)[80] People assigned female at birth with CAH, CAIS, and complete gonadal dysgenesis have low prevalence of gender dysphoria.[80]

Those with intersex variations should have a psychiatrist or psychologist working with a multidisciplinary team.[81] Patient-centered models of intersex healthcare focus on using psychologists or social workers to address parental distress rather than normalizing surgery.[82] Mental health professionals can aid intersex people when making choices about hormone treatments, gender assignment, gender reassignment, and surgeries.[81] Psychotherapy can also be used to support self-acceptance.[83] Psychological support for parents and family members helps reduce harm to an intersex child. This support helps by educating family against misconceptions about intersex variations, as well as encouraging parents to share age-appropriate information with their child.[84] This aids in preventing secrecy about the child's intersex status.[84]

Findings suggest peer support for intersex people and their parents can positively contribute to their well-being, though robust evidence is lacking.[79][85] Peer support groups supervised by a facilitator serve to mitigate social isolation, provide emotional validation, and help members of the group process medical information.[82][85] Accessing peer support can prove difficult due to lack of referrals.[85]

Cognitive health

Some intersex variations can impact cognitive and social functioning. Rates of autism symptoms are higher in intersex people. A survey of European intersex adults finding a 9.1 percent prevalence, compared to 1 percent in the general adult population.[86] This percentage differs depending on the particular intersex variation, with those with Klinefelter syndrome having the highest autism symptom prevalence of the variations measured.[86]

Intersex people have no significant difference in intelligence quotient compared to endosex people.[87] Other cognitive differences depend on the particular variation. Females with Turner syndrome are more likely to be diagnosed with attention deficit disorder, can struggle with social competence in both childhood and adulthood, and can have visuospatial deficits that negatively impact math ability.[88][89] Those with Klinefelter syndrome are likely to experience language issues. 70 to 80 percent of males with Klinefelter syndrome experience language difficulties at an early age. Impairments in verbal fluency and naming viewed stimuli have been found in adolescents and adults. Reading difficulties are similarly common in children and adults with Klinefelter syndrome.[90]

A psychologist can be consulted to assess learning difficulties if they are present.[91][36] Academic accommodations, tutoring, or other forms of support may be equipped to help those with cognitive impairments.[89][91] Psychiatric interventions and other supports may be needed throughout one's life to help with difficulties in executive and cognitive functioning.[79] Mental health issues may be the main cause of executive function issues, as a study comparing intersex and endosex people found that there was no significant difference in executive function when adjusting for mental health.[87]

History

Intersex variations have been documented since antiquity.[92] Intersex people were included in art and ancient myths such as the creation of an intersex person by the Sumerian gods Enki and Nimnak or Hermaphroditus in ancient Greece.[93]

art of Hermaphroditus and cupids
Sculpture of Hermaphroditus from the first century BCE

The first surgery on ambiguous genitalia was recorded by historian Diodorus Siculus in the first century BCE. The patient, Callo, was believed to be female prior to having a fistula lanced, exposing testes and a penis.[93][94] In the 600s CE, surgeon Paulus Aegineta described intersex conditions and hypospadias. This influenced later surgeons like Albucasis in the 11th century to write about surgeries for intersex genital variations such as clitoris removal.[93][95] Ottoman surgeon Şerafeddin Sabuncuoğlu included an illustrated chapter about surgical treatments for intersex genital variations in his 15th century manuscript.[93][96]

In the 1800s, Medical professionals in Great Britain, France, and the United States began searching for definitive markers to determine what was thought to be the intersex person's true sex. These determinants were used to inform the patient of their true sex with the expectation that the patient would subsequently change to fit social norms.[92]

The term 'intersexuality' was created in 1915 by German biologist Richard Goldschmidt.[97] He came up with the term while studying sphynx moths with sex characteristics between male and female.[98][97] The term was adopted for pediatric use.[97]

In the 1930s, surgeries intended to correct the genitals of intersex people were developed and became a standard treatment.[99][100] At the time, surgeon Lennox Ross Broster described that corrective surgery would cause patients to "lose their acquired male characters, and revert to their normal feminine ones...[and] return to normal sexuality psychologically."[100]

Broster worked with psychiatrist Clifford Allen towards understanding the psychological impacts of an intersex person's biology; both believed that psychological abnormalities would arise from atypical anatomy. In 1940, Allen argued for the separation of intersex people from endosex people desiring sex reassignment. This served to provide surgical procedures only to intersex people, and directing transgender people towards psychological services.[100]

In the 1950s, medical advances emerged to evaluate a fetus' sex and birth defects such as ultrasound and amniocentesis.[101] As technologies advanced, clinicians became able to detect intersex conditions such as congenital adrenal hyperplasia and Turner syndrome before the birth of the child.[36][102]

The same decade, John Money theorized that children were gender neutral until the age of two, and gender could be assigned based on how a child was raised.[99][100] Money and his colleagues, Joan and John Hampton, put forward protocols for the management of intersex people which became greatly influential in the global north.[103][104] For instance, he coined the term gender role initially as a diagnostic criteria to determine if someone with ambiguous genitalia was a male or female. Predictions based on what an infant's future gender role would be informed what treatments the child received.[105] Money's work promoted surgeries for intersex people, young children in particular.[99] Clinicians often hid that a child was intersex both from patients and their parents.[99]

Money's gender categorization and surgical approach was informed by norms at the time such as the belief in male-female dichotomy and a homosexual-heterosexual dichotomy. Correcting intersex bodies reinforced these norms by aiming to produce heterosexual males or females. His approach was also perpetuated by the pathologization of intersex people; it fit intersexuality into the medical process of diagnosis, analysis, and treatment. In other words, intersex conditions would be diagnosed and normalizing treatments were determined by analyzing which gender role the person fit most.[104] This made his ideas agreeable to surgeons and psychologists, who could view their work as helping treat abnormal children.[106]

In 1966, Money advised sex reassignment for a baby boy after a botched circumcision. The child would be raised as a girl until he learned the truth about his birth sex at age 15 and lived as a male after. When Money began publishing his findings in 1972, he portrayed it as a case of successful sex reassignment supporting his idea that gender could be changed at an early age.[107][108] This case, which became known as the Joan/John case, would be followed in medical literature and mainstream press for decades.[109] Money's prolific publications on this case furthered the practice of performing normalizing surgeries on intersex children by portraying a child's gender identity as changeable through upbringing.[107][110]

The first intersex support groups formed in the 1980s, starting with Canadian support groups for Turner syndrome in 1981.[111][112] The later half of the decade saw a rise in advocacy against normalizing surgeries from patients and the start of objections from professionals.[113][114] Intersex activists continued to challenge the use of corrective genital surgery and the stigma around intersex variations the following decade; in 1993, activist Bo Laurent, also known as Cheryl Chase, formed the Intersex Society of North America.[115][116][111]

In the early 1990s, feminist scholars began criticizing Johns Hopkins Hospital's medical policy for using gender norms to make predictions about the gender of intersex infants, as well as medically altering their bodies to fit those norms.[117] In 1995, a paper justifying withholding medical information from patients with AIS was awarded a prize in medical ethhics from the Canadian Medical Association.[118][119] In 1996, the first modern intersex public demonstration took place in Boston outside of the American Academy of Pediatrics' annual meeting.[120][121]

In 2005, the European Society for Paediatric Endocrinology and the Wilkins Pediatric Endocrine Society held a conference with 50 international experts and two intersex participants decide which term should be used to refer to people with intersex variations.[25] The term disorders of sex development, abbreviated as DSD, was chosen.[25] In a 2006 consensus statement, the adoption of the term DSD was purposed.[81][26] Since then, the term DSD has replaced intersexuality in pediatric use.[97]

In 2011, the first International Intersex Forum took place in Brussels, Belgium. This forum is for intersex activists, advocates and organizations to raise awareness towards intersex human rights issues and make political demands such as ending normalizing medical procedures and selective abortion of intersex fetuses.[122][123] In 2013, the third International Intersex Forum created the Malta Declaration.[124] This outlines what the intersex community broadly wants to achieve globably. Africa, Asia, Europe, Oceania, Latin America, and the Caribbean each have regional additions to the declaration.[125]

Photo of attendees at the third International Intersex Forum

Barriers to care

Medical trauma

Many intersex patients have gone through negative medical experiences including childhood genital surgery, having their medical history hidden from them, pathologization of intersex variations, and genital examinations and photography.[126][127][128] Genital surgery on young children, excessive medical exams and nonconsentual genital photography have been described as medicalized rape.[129] According to the NNID Foundation, an intersex organization in the Netherlands,

"These actions [of medicalized rape and sexual violence] include: grooming behaviour, provoking sexual arousal without consent sometimes even on small children, construction of vagina's on children and teens that require insertion of penis-shaped objects [vaginal dilation], repeated observing and examining genitals far beyond any level needed to provide care, but rather out of personal interest, and producing photographs and video's of intersex genitals without consent and spreading these images without restrictions."[129]

These experiences negatively impact the well-being of intersex people. Vaginal dilation and surgeries early in life cause physical and psychological trauma.[127] Nonconsensual surgeries can contribute to healthcare avoidance and medical distrust among intersex people, causing them to delay receiving preventative or emergency care.[130] Some intersex people also have information about their diagnosis withheld from them, potentially leading to them learning about their condition in an unsupportive setting rather than from an (ideally) sensitive disclosure from a doctor.[131]

Lack of quality data

Data is often collected from populations using either sex or gender, but not both.[132] This results in problems when collecting data from intersex people.[132] Uncertainty in how to answer can result in data being miscollected.[132] Assumptions underlying questions about sex, such as expecting a respondent's sex traits not to vary from their answer, can lead to the misuse of data.[132] These issues in data collection negatively impact the healthcare of intersex people as some tests and medical treatments are affected by one's sex.[132] In some cases, data on intersex people may not be collected at all. Data systems supported or led by the Center for Disease Control and Prevention between 2015 and 2018 collected no data on intersex conditions.[133]

There is a lack of research into the general health, mental health, and cancer risks of intersex people.[134] Intersex people often are not studied in the field of toxicology, making risk assessment for intersex patients difficult.[135] Anesthesiology also under-represents intersex patients. In 2016, none of the major anesthesiology journals reported if any of their participants were intersex.[136][137] There is lack of research in fertility preservation for intersex patients due to the larger focus on creating a normative sex presentation.[138]

Inaccessibility

Intersex people have better outcomes when receiving specialized care.[139] When intersex people reach adulthood, they can experience difficulty finding specialized care for their variations; this is in part due to a lack of specialists for adults with significant training about intersex conditions.[12] A small study found that 28 percent of adult intersex participants had difficulty accessing specialist care.[140] A study in Bangladesh found intersex people were often turned away from government healthcare facilities. Less than half of intersex people succeeded in accessing care from government healthcare facilities, while over 80 percent managed to access care from private ones. Some of the barriers to care included unfriendly interactions with both physicians and nonclinical staff, excessive public attention due their intersex status, public fear of interacting with intersex people, and limited treatment for patients who are not either male or female.[141]

Intersex people desiring psychological support may not be offered such services. Another study found that majority of intersex patients had not been offered psychological counseling, and 27 percent reported not being offered counseling while having an unmet need for it.[140] Intersex children can have difficulty finding support at school as well. There are no standards for educational psychologists or counselors supporting intersex children, and peers are not properly educated about intersex people.[142]

Intersex patients and their families frequently experience a lack of psychological support. 40.4 percent of parents of intersex children requested psychological support, half of whom received it.[143] When psychologists are included within multidisciplinary care teams for intersex patients, they often feel their role is marginalized by their peers.[142] Family members of intersex children may feel a being recommended a psychologist implies they are not performing their role in the family well.[144] Intersex patients and their caretakers may also have negative perceptions about therapy, finding it taboo or unpleasant.[144]

Intersex people experience issues accessing sexual health and affirming doctors. A survey from the United Kingdom's Government Equalities Office found that 11 percent of intersex participants reported that it was difficult to access sexual healthcare compared to 5 percent of endosex LGBT participants.[145] 6 percent of intersex people reported that their general practitioner was unsupportive compared to 2 percent of endosex LGBT people.[145]

It is difficult for elderly intersex people to find providers capable of meeting their needs.[146] They may fear living in retirement communities due to potential intolerance from other residents.[127] Elderly intersex people can feel concerned about home care as well; they may fear caretaker abuse due to their intersex variation or surgical changes to their body.[127]

Cost and availability in developing countries

Healthcare for intersex people in developing countries can be especially difficult to access due to cost or low availability. For instance, Vietnam only has one pediatric endocrinology department in the country, specifically at the National Hospital in Hanoi. Due to the lack of government funding towards healthcare, the cost of basic medications like estrogen tablets can be a major financial burden.[147] In Bangladesh, the lack of treatment from government healthcare facilities can pose issues for intersex people if they cannot afford private care or do not have a private health facility near them. [141]

Cost can also influence what type of procedures are performed. In Zimbabwe, genetic testing to determine a child's sex is not offered in public hospitals, and testing can cost up to 1200 U.S dollars from private hospitals. This makes it cost prohibitive for many families. Since normalizing surgeries on intersex infants is offered for free in public hospitals, this can lead parents to opt for these procedures to assign a child's sex instead of testing.[148]

Cultural conflicts

In India, parents often argue with physicians when an intersex child is assigned female. Due to women often being economically dependent on men, there is a fear that an intersex woman won't be able to get husband, especially if her intersex variation makes her infertile. This could cause her to dependent on her family for life or become impoverished. Fears about marriage and financial security also impact sex assignment in Egypt and Saudi Arabia. Due to this, the majority (over 60 percent) of intersex children are raised male in Egypt.[149]

Advocacy

Marchers holding signs and a banner saying, "End Intersex Surgery"
Protesters calling for an end to intersex surgery at a pride demonstration

Intersex and human rights organizations advocate against medically unnecessary genital surgeries on young children.[150][151] Deferral of procedures is promoted whenever possible so patients are old enough to provide consent.[152] Clinician advocates have worked with professional organizations to write position statements in support of deferring non-essential genital surgery until a child is older.[99][153] Most discourse criticizing nonconsensual normalizing surgeries, also called intersex genital mutilation, comes from Western countries.[154] This does not mean such discourse is not occurring at all in non-Western countries. There are non-western intersex organizations, such as Intersex Asia and Intersex South Africa, which oppose intersex genital mutilation as well.[155][156]

Advocates promote patient-centered care rather than procedures to ease parents.[99][153] Intersex organizations and clinician advocates both promote mental health support of intersex people as a key part of intersex healthcare.[153][99] Other changes supported by intersex advocates include ensuring intersex patients have access to medical records, acquiring government reparations for those who have received medically unnecessary surgery or demeaning treatment, and holding doctors who have given such treatment legally accountable.[152][157]

Intersex activists also advocate against sex-selective abortion of intersex fetuses. Prenatal testing can detect chromosomal intersex variations, leading some parents to feel pressured to abort the fetus due to a lack of information about these conditions. NNID views the use of medical testing for intersex prevention as "a form of eugenics."[158] The Malta Declaration from the Third Intersex International Forum says "To put an end to preimplantation genetic diagnosis, pre-natal screening and treatment, and selective abortion of intersex foetuses" on its list of demands.[159]

Ensuring intersex people are respected in medical settings is another priority for intersex rights. Lambda Legal and InterACT support hospitals adding language to their patients' bill of rights to explicitly state the rights to nondiscrimination, privacy, and respect for intersex people receiving care.[160] Advocates also support educating medical staff about respect and privacy for intersex patients; this is meant to protect their physical integrity and autonomy.[152]

Another initiative in intersex advocacy is high quality and respectful research about intersex people. Common research issues cited by advocates include focusing predominantly on children instead of adults, making assumptions about intersex people having other LGBT identities, framing intersex as a gender, researchers' lack of understanding on intersex issues, and representing data as LGBTI data despite not having a significant number of intersex participants.[161][162] Organizations such as InterACT and Intersex Human Rights Australia provide guidance and encourage researchers to contact them early in a study's design process.[163][161]

See also

References

  1. ^ "Statement on Sex, Gender, Variations of Sex Characteristics and Sexual Orientation in Health and Medical Research". National Health and Medical Research Council. 2023.
  2. ^ a b c "Differences in sex development". NHS. 18 October 2017. Archived from the original on 1 August 2024. Retrieved 2 August 2024.
  3. ^ a b "Differences of sex development: MedlinePlus Medical Encyclopedia". medlineplus.gov. Retrieved 2024-12-29.
  4. ^ "Intersex People". United Nations Human Rights Office of the High Commissioner. Archived from the original on 2023-07-08. Retrieved 2024-08-15.
  5. ^ "Congenital Adrenal Hyperplasia (CAH)". Eunice Kennedy Shriver National Institute of Child Health and Human Development. Retrieved 2025-02-26.
  6. ^ "Androgen insensitivity syndrome: MedlinePlus Genetics". medlineplus.gov. Retrieved 2025-03-16.
  7. ^ Tatton-Brown, Dr Umber Agarwal, Dr Danielle Bogue, Professor Kate. "Congenital adrenal hyperplasia — Knowledge Hub". GeNotes. Genomics Education Programme NHS England. Retrieved 2025-03-17.{{cite web}}: CS1 maint: multiple names: authors list (link)
  8. ^ "Mayer Rokitansky Küster Hauser syndrome (MRKH)" (PDF). NHS Imperial College Healthcare. October 2023.
  9. ^ "Mayer-Rokitansky-Küster-Hauser syndrome: MedlinePlus Genetics". medlineplus.gov. Retrieved 2025-03-17.
  10. ^ Morcel, Karine; Camborieux, Laure; Guerrier, Daniel (December 2007). "Mayer-Rokitansky-Küster-Hauser (MRKH) syndrome". Orphanet Journal of Rare Diseases. 2 (1): 13. doi:10.1186/1750-1172-2-13. PMC 1832178. PMID 17359527.
  11. ^ Vora, Komal A; Srinivasan, Shubha (July 2020). "A guide to differences/disorders of sex development/intersex in children and adolescents". Australian Journal of General Practice. 49 (7): 417–422. doi:10.31128/AJGP-03-20-5266. PMID 32599998.
  12. ^ a b c d e f g h Cools, Martine; Nordenström, Anna; Robeva, Ralitsa; Hall, Joanne; Westerveld, Puck; Flück, Christa; Köhler, Birgit; Berra, Marta; Springer, Alexander; Schweizer, Katinka; Pasterski, Vickie (July 2018). "Caring for individuals with a difference of sex development (DSD): a Consensus Statement". Nature Reviews Endocrinology. 14 (7): 415–429. doi:10.1038/s41574-018-0010-8. PMC 7136158. PMID 29769693.
  13. ^ Wiersma, Rinus (2011-12-22). OvoTesticular Disorder of Sex Development in Southern Africa. University Medical Center Rotterdam. pp. 56–69. ISBN 978-94-6169-171-2.
  14. ^ Jones, Tiffany (April 2018). "Intersex Studies: A Systematic Review of International Health Literature". SAGE Open. 8 (2). doi:10.1177/2158244017745577.
  15. ^ Horowitz, Kayla; Zayhowski, Kimberly; Palmour, Nicole; Haghighat, Darius; Joly, Yann (2024). "Enhancing intersex healthcare: A qualitative study of parental perspectives on the role of genetics". Journal of Genetic Counseling. 34 (1): e1905. doi:10.1002/jgc4.1905. PMC 11735179. PMID 38627912.
  16. ^ Atayan, Adrienne B.; Huerne, Katherine; Palmour, Nicole; Joly, Yann (29 August 2024). "Towards equity & inclusion: a critical examination of genetic Counselling Education on Intersex Healthcare". BMC Medical Education. 24 (1): 942. doi:10.1186/s12909-024-05898-x. PMC 11360692. PMID 39210433.
  17. ^ a b Whitehead, J; Hirsch, Josephine; Rosoklija, Ilina; Goetsch Weisman, Allison; Dungan, Jeffrey; Finlayson, Courtney; Chen, Diane; Johnson, Emilie K. (2022). "Prenatal detection and evaluation of differences of sex development: A qualitative interview study of parental perspectives and unmet needs". Prenatal Diagnosis. 42 (10): 1332–1342. doi:10.1002/pd.6191. PMC 9545652. PMID 35670269.
  18. ^ Martin, Kimberly; Dar, Pe’er; MacPherson, Cora; Egbert, Melissa; Demko, Zachary; Parmar, Sheetal; Hashimoto, Katelyn; Haeri, Sina; Malone, Fergal; Wapner, Ronald J.; Roman, Ashley S.; Khalil, Asma; Faro, Revital; Madankumar, Rajeevi; Strong, Noel; Silver, Robert M.; Vohra, Nidhi; Hyett, Jon; Rabinowitz, Matt; Kao, Charlly; Hakonarson, Hakon; Jacobsson, Bo; Norton, Mary E. (August 2023). "Performance of prenatal cfDNA screening for sex chromosomes". Genetics in Medicine. 25 (8): 100879. doi:10.1016/j.gim.2023.100879. PMID 37154148.
  19. ^ Adam, Margaret P.; Fechner, Patricia Y.; Ramsdell, Linda A.; Badaru, Angela; Grady, Richard E.; Pagon, Roberta A.; McCauley, Elizabeth; Cheng, Edith Y.; Parisi, Melissa A.; Shnorhavorian, Margarett (June 2012). "Ambiguous genitalia: What prenatal genetic testing is practical?". American Journal of Medical Genetics Part A. 158A (6): 1337–1343. doi:10.1002/ajmg.a.35338. PMID 22581420.
  20. ^ Finney, Esther L.; Finlayson, Courtney; Rosoklija, Ilina; Leeth, Elizabeth A.; Chen, Diane; Yerkes, Elizabeth B.; Cheng, Earl Y.; Johnson, Emilie K. (2020-02-01). "Prenatal detection and evaluation of differences of sex development". Journal of Pediatric Urology. 16 (1): 89–96. doi:10.1016/j.jpurol.2019.11.005. PMC 7871367. PMID 31864813.
  21. ^ Sparrow, Robert (October 2013). "Gender Eugenics? The Ethics of PGD for Intersex Conditions". The American Journal of Bioethics. 13 (10): 29–38. doi:10.1080/15265161.2013.828115. PMID 24024804.
  22. ^ "21-hydroxylase deficiency: MedlinePlus Genetics". medlineplus.gov. Archived from the original on 2024-12-18. Retrieved 2024-12-24.
  23. ^ Warne, Garry L; Grover, Sonia; Zajac, Jeffrey D (2005). "Hormonal Therapies for Individuals with Intersex Conditions: Protocol for Use". Treatments in Endocrinology. 4 (1): 19–29. doi:10.2165/00024677-200504010-00003. PMID 15649098.
  24. ^ "What's intersex?". Planned Parenthood. Archived from the original on 2024-07-18. Retrieved 2024-08-02.
  25. ^ a b c d Reis, Elizabeth (September 2007). "Divergence or Disorder?: the politics of naming intersex". Perspectives in Biology and Medicine. 50 (4): 535–543. doi:10.1353/pbm.2007.0054. PMID 17951887.
  26. ^ a b c Feder, E. K.; Karkazis, K. (2008). "What's in a Name?: The Controversy over 'Disorders of Sex Development'". Hastings Center Report. 38 (5): 33–36. doi:10.1353/hcr.0.0062. PMID 18947138.
  27. ^ Jones, Tiffany; Hart, Bonnie; Carpenter, Morgan; Ansara, Gavi; Leonard, William; Lucke, Jayne (2016). Intersex: Stories and Statistics from Australia. doi:10.11647/OBP.0089. hdl:1959.11/18556. ISBN 978-1-78374-208-0.
  28. ^ Bates, Nancy; Chin, Marshall; Becker, Tara, eds. (2022). "Measuring Intersex/DSD Populations". Measuring Sex, Gender Identity, and Sexual Orientation. National Academies Press (US). doi:10.17226/26424. ISBN 978-0-309-27510-1. PMID 35286054.
  29. ^ a b Weidler, Erica M.; Linnaus, Maria E.; Baratz, Arlene B.; Goncalves, Luis F.; Bailey, Smita; Hernandez, S. Janett; Gomez-Lobo, Veronica; van Leeuwen, Kathleen (December 2019). "A Management Protocol for Gonad Preservation in Patients with Androgen Insensitivity Syndrome". Journal of Pediatric and Adolescent Gynecology. 32 (6): 605–611. doi:10.1016/j.jpag.2019.06.005. PMC 6917890. PMID 31233832.
  30. ^ Döhnert, Ulla; Wünsch, Lutz; Hiort, Olaf (2017). "Gonadectomy in Complete Androgen Insensitivity Syndrome: Why and When?". Sexual Development. 11 (4): 171–174. doi:10.1159/000478082. PMID 28719904.
  31. ^ a b c Bertelloni, S.; Baroncelli, G.I.; Mora, S. (2010). "Bone Health in Disorders of Sex Differentiation". Sexual Development. 4 (4–5): 270–284. doi:10.1159/000315961. PMID 20820111.
  32. ^ a b Grande, Giuseppe; Graziani, Andrea; Di Mambro, Antonella; Selice, Riccardo; Ferlin, Alberto (5 July 2023). "Osteoporosis and bone metabolism in patients with Klinefelter syndrome". Endocrine Connections. 12 (8). doi:10.1530/EC-23-0058. PMC 10388662. PMID 37166398.
  33. ^ Rangaswamaiah, Swetha; Gangathimmaiah, Vinay; Nordenstrom, Anna; Falhammar, Henrik (31 July 2020). "Bone Mineral Density in Adults With Congenital Adrenal Hyperplasia: A Systematic Review and Meta-Analysis". Frontiers in Endocrinology. 11: 493. doi:10.3389/fendo.2020.00493. PMC 7438951. PMID 32903805.
  34. ^ "Glucocorticoid". National Cancer Institute. 2011-02-02. Retrieved 2024-08-05.
  35. ^ a b c "Swyer syndrome". MedlinePlus Genetics. Archived from the original on 2021-12-19. Retrieved 2024-08-05.
  36. ^ a b c d "Turner syndrome - Treatment". nhs.uk. 2017-10-20. Retrieved 2024-07-31.
  37. ^ Litwack, Gerald (2022). "Adrenal corticoids". Hormones. Elsevier. pp. 249–268. doi:10.1016/B978-0-323-90262-5.00009-3. ISBN 978-0-323-90262-5.
  38. ^ "Congenital Adrenal Hyperplasia". Endocrine Society. 24 January 2022. Archived from the original on 6 August 2024. Retrieved 6 August 2024.
  39. ^ a b Nordenström, A; Ahmed, S F; van den Akker, E; Blair, J; Bonomi, M; Brachet, C; Broersen, L H A; Claahsen-van der Grinten, H L; Dessens, A B; Gawlik, A; Gravholt, C H; Juul, A; Krausz, C; Raivio, T; Smyth, A; Touraine, P; Vitali, D; Dekkers, O M (June 2022). "Pubertal induction and transition to adult sex hormone replacement in patients with congenital pituitary or gonadal reproductive hormone deficiency: an Endo-ERN clinical practice guideline". European Journal of Endocrinology. 186 (6): G9 – G49. doi:10.1530/eje-22-0073. PMC 9066594. PMID 35353710.
  40. ^ Swerdlow, Anthony J.; Schoemaker, Minouk J.; Higgins, Craig D.; Wright, Alan F.; Jacobs, Patricia A. (17 August 2005). "Cancer Incidence and Mortality in Men with Klinefelter Syndrome: A Cohort Study". JNCI: Journal of the National Cancer Institute. 97 (16): 1204–1210. doi:10.1093/jnci/dji240. PMID 16106025.
  41. ^ "Swyer Syndrome". National Cancer Institute. 2011-02-02. Archived from the original on 2024-08-20. Retrieved 2024-08-05.
  42. ^ a b c d e Kathrins, Martin; Kolon, Thomas F. (October 2016). "Malignancy in disorders of sex development". Translational Andrology and Urology. 5 (5): 794–798. doi:10.21037/tau.2016.08.09. PMC 5071196. PMID 27785439.
  43. ^ Roth, Lawrence M.; Cheng, Liang (1 June 2020). "Gonadoblastoma: origin and outcome". Human Pathology. 100: 47–53. doi:10.1016/j.humpath.2019.11.005. PMID 31805291. Retrieved 16 March 2025.
  44. ^ Akcan, Abdullah Baris; Boduroğlu, Osman K (29 November 2021). "Y Chromosome Material in Turner Syndrome". Cureus. 13 (11): e19977. doi:10.7759/cureus.19977. PMC 8628189. PMID 34868795.
  45. ^ a b c d e Ovidiu, Bratu; Marcu, Dragos; Mischianu, Dan; Poiana, Catalina; Diaconu, Camelia; Bungau, Simona; Tit, Delia; Cumpanas, Alin; Bohiltea, Roxana (15 March 2021). "The challenges of androgen insensitivity syndrome". Archives of Medical Science. 18 (4): 881–889. doi:10.5114/aoms/125584. PMC 9266792. PMID 35832699.
  46. ^ a b c Silberbach, Michael; Roos-Hesselink, Jolien W.; Andersen, Niels H.; Braverman, Alan C.; Brown, Nicole; Collins, R. Thomas; De Backer, Julie; Eagle, Kim A.; Hiratzka, Loren F.; Johnson, Walter H.; Kadian-Dodov, Daniella; Lopez, Leo; Mortensen, Kristian H.; Prakash, Siddharth K.; Ratchford, Elizabeth V.; Saidi, Arwa; van Hagen, Iris; Young, Luciana T. (October 2018). "Cardiovascular Health in Turner Syndrome: A Scientific Statement From the American Heart Association". Circulation: Genomic and Precision Medicine. 11 (10): e000048. doi:10.1161/HCG.0000000000000048. hdl:1854/LU-8583485. PMID 30354301.
  47. ^ Esteban, Caleb; Ortiz-Rodz, Derek Israel; Muñiz-Pérez, Yesibelle I.; Ramírez-Vega, Luis; Jiménez-Ricaurte, Coral; Mattei-Torres, Edna; Finkel-Aguilar, Victoria (7 February 2023). "Quality of Life and Psychosocial Well-Being among Intersex-Identifying Individuals in Puerto Rico: An Exploratory Study". International Journal of Environmental Research and Public Health. 20 (4): 2899. doi:10.3390/ijerph20042899. PMC 9957316. PMID 36833596.
  48. ^ a b Qi, Jiani; Zhou, Ping; Peng, Hong; Deng, Jin; Shao, Yang; Ye, Lingjuan; Luo, Shengjuan (November 2024). "Clinical and Imaging Characteristics of Herlyn-Werner-Wunderlich Syndrome: a Comprehensive Analysis". Reproductive Sciences. 31 (11): 3343–3350. doi:10.1007/s43032-024-01628-2. PMC 11527966. PMID 38907127.
  49. ^ a b "Campomelic dysplasia | About the Disease | GARD". rarediseases.info.nih.gov. Archived from the original on 2024-12-03. Retrieved 2024-11-28.
  50. ^ "Campomelic dysplasia: MedlinePlus Genetics". medlineplus.gov. Retrieved 2024-11-28.
  51. ^ "Cleft lip and palate - Treatment". nhs.uk. 2017-10-19. Retrieved 2024-11-29.
  52. ^ Ayari, S.; Aubertin, G.; Girschig, H.; Van Den Abbeele, T.; Denoyelle, F.; Couloignier, V.; Mondain, M. (February 2013). "Management of laryngomalacia". European Annals of Otorhinolaryngology, Head and Neck Diseases. 130 (1): 15–21. doi:10.1016/j.anorl.2012.04.003. PMID 22835508.
  53. ^ Lam, Derek J.; Tabangin, Meredith E.; Shikary, Tasneem A.; Uribe-Rivera, Armando; Meinzen-Derr, Jareen K.; de Alarcon, Alessandro; Billmire, David A.; Gordon, Christopher B. (April 2014). "Outcomes of Mandibular Distraction Osteogenesis in the Treatment of Severe Micrognathia". JAMA Otolaryngology–Head & Neck Surgery. 140 (4): 338–345. doi:10.1001/jamaoto.2014.16. PMID 24577483.
  54. ^ a b c Van Batavia, J.P.; Kolon, T.F. (December 2016). "Fertility in disorders of sex development: A review". Journal of Pediatric Urology. 12 (6): 418–425. doi:10.1016/j.jpurol.2016.09.015. PMID 27856173.
  55. ^ Finlayson, Courtney; Johnson, Emilie K.; Chen, Diane; Fechner, Patricia Y.; Hirsch, Josephine; Rosoklija, Ilina; Schafer-Kalkhoff, Tara; Shnorhavorian, Margarett; Gomez-Lobo, Veronica (October 2022). "Fertility in Individuals with Differences in Sex Development: Provider Knowledge Assessment". Journal of Pediatric and Adolescent Gynecology. 35 (5): 558–561. doi:10.1016/j.jpag.2022.02.004. PMC 9468186. PMID 35296452.
  56. ^ a b c d Hosseinirad, Hossein; Yadegari, Pouya; Mohanazadeh Falahieh, Fatemeh; Nouraei, Soheila; Paktinat, Shahrokh; Afsharzadeh, Nousha; Sadeghi, Yousef (3 September 2021). "Disorders of sex development and female reproductive capacity: A literature review". Systems Biology in Reproductive Medicine. 67 (5): 323–336. doi:10.1080/19396368.2021.1937376. PMID 34196232.
  57. ^ "ICSI Key Findings | Assisted Reproductive Technology (ART) | CDC". www.cdc.gov. 2019-01-31. Archived from the original on 2024-09-29. Retrieved 2024-08-23.
  58. ^ Creighton, S.M.; Liao, L.-M. (March 2004). "Changing attitudes to sex assignment in intersex". BJU International. 93 (5): 659–664. doi:10.1111/j.1464-410X.2003.04694.x. PMID 15009085.
  59. ^ Kilberg, M. J.; McLoughlin, M.; Pyle, L. C.; Vogiatzi, M. G. (2019). "Endocrine management of ovotesticular DSD". Pediatric Endocrinology Reviews. 17 (2): 110–116. doi:10.17458/per.vol17.2019.kmv.endocrineovotesticulardsd. PMC 9172251. PMID 31763803.
  60. ^ Gupta, Anupam; Bajaj, Ritika; Jindal, Umesh N. (September 2019). "A Rare Case of Swyer Syndrome in Two Sisters with Successful Pregnancy Outcome in Both". Journal of Human Reproductive Sciences. 12 (3): 267–269. doi:10.4103/jhrs.JHRS_14_19. PMC 6764226. PMID 31576088.
  61. ^ a b Fukami, Maki (23 March 2023). "Ovarian dysfunction in women with Turner syndrome". Frontiers in Endocrinology. 14. doi:10.3389/fendo.2023.1160258. PMC 10076527. PMID 37033245.
  62. ^ Juul, Anders; Gravholt, Claus H.; De Vos, Michel; Koledova, Ekaterina; Cools, Martine (5 May 2023). "Individuals with numerical and structural variations of sex chromosomes: interdisciplinary management with focus on fertility potential". Frontiers in Endocrinology. 14. doi:10.3389/fendo.2023.1160884. PMC 10197804. PMID 37214245.
  63. ^ Porcu, Eleonora; Cipriani, Linda; Damiano, Giuseppe (2023). "Reproductive health in Turner's syndrome: from puberty to pregnancy". Frontiers in Endocrinology. 14: 1269009. doi:10.3389/fendo.2023.1269009. ISSN 1664-2392. PMC 10728473. PMID 38116311.
  64. ^ Strypstein, L.; Van Moer, E.; Nekkebroeck, J.; Segers, I.; Tournaye, H.; Demeestere, I.; Dolmans, M.-M.; Verpoest, W.; De Vos, M. (February 2022). "First live birth after fertility preservation using vitrification of oocytes in a woman with mosaic Turner syndrome". Journal of Assisted Reproduction and Genetics. 39 (2): 543–549. doi:10.1007/s10815-022-02420-4. PMC 8956750. PMID 35122176.
  65. ^ a b Nowotny, Hanna Franziska; Tschaidse, Lea; Auer, Matthias K.; Reisch, Nicole (October 2024). "Prenatal and Pregnancy Management of Congenital Adrenal Hyperplasia". Clinical Endocrinology. 101 (4): 359–370. doi:10.1111/cen.15131. PMID 39387451.
  66. ^ a b c d Kalra, Rashi; Cameron, Melissa; Stern, Catharyn (June 2019). "Female fertility preservation in DSD". Best Practice & Research Clinical Endocrinology & Metabolism. 33 (3): 101289. doi:10.1016/j.beem.2019.101289. PMID 31331728.
  67. ^ a b CDC (2024-05-20). "About Aortic Aneurysm". Heart Disease. Archived from the original on 2024-12-21. Retrieved 2024-12-21.
  68. ^ a b c Kreukels, Baudewijntje P. C.; Cohen-Kettenis, Peggy T.; Roehle, Robert; van de Grift, Tim C.; Slowikowska-Hilczer, Jolanta; Claahsen-van der Grinten, Hedi; Lindén Hirschberg, Angelica; de Vries, Annelou L. C.; Reisch, Nicole; Bouvattier, Claire; Nordenström, Anna; Thyen, Ute; Köhler, Birgit (17 November 2019). "Sexuality in Adults with Differences/Disorders of Sex Development (DSD): Findings from the dsd-LIFE Study". Journal of Sex & Marital Therapy. 45 (8): 688–705. doi:10.1080/0092623X.2019.1610123. PMID 31034334.
  69. ^ Creighton, Sarah; Chernausek, Steven D.; Romao, Rodrigo; Ransley, Philip; Salle, Joao Pippi (December 2012). "Timing and nature of reconstructive surgery for disorders of sex development – Introduction". Journal of Pediatric Urology. 8 (6): 602–610. doi:10.1016/j.jpurol.2012.10.001. PMID 23146296.
  70. ^ a b Zeeman, Laetitia; Aranda, Kay (8 September 2020). "A Systematic Review of the Health and Healthcare Inequalities for People with Intersex Variance". International Journal of Environmental Research and Public Health. 17 (18): 6533. doi:10.3390/ijerph17186533. PMC 7559554. PMID 32911732.
  71. ^ Amies Oelschlager, Anne-Marie; Muscarella, Miriam; Gomez-Lobo, Veronica (October 2015). "Transition to Adult Care in Persons With Disorders of Sexual Development: The Role of the Gynecologist". Obstetrics & Gynecology. 126 (4): 845–849. doi:10.1097/AOG.0000000000001034. PMC 4580509. PMID 26348185.
  72. ^ Kilberg, Marissa J.; McLoughlin, Michelle; Pyle, Louisa C.; Vogiatzi, Maria G. (December 2019). "Endocrine Management of Ovotesticular DSD, an Index Case and Review of the Literature". Pediatric Endocrinology Reviews. 17 (2): 110–116. doi:10.17458/per.vol17.2019.kmv.endocrineovotesticulardsd. PMC 9172251. PMID 31763803.
  73. ^ a b c Bohet, M.; Besson, R.; Jardri, R.; Manouvrier, S.; Catteau-Jonard, S.; Cartigny, M.; Aubry, E.; Leroy, C.; Frochisse, C.; Medjkane, F. (August 2019). "Mental health status of individuals with sexual development disorders: A review" (PDF). Journal of Pediatric Urology. 15 (4): 356–366. doi:10.1016/j.jpurol.2019.04.010. PMID 31133504.
  74. ^ Rosenwohl-Mack, Amy; Tamar-Mattis, Suegee; Baratz, Arlene B.; Dalke, Katharine B.; Ittelson, Alesdair; Zieselman, Kimberly; Flatt, Jason D. (9 October 2020). "A national study on the physical and mental health of intersex adults in the U.S." PLOS ONE. 15 (10): e0240088. Bibcode:2020PLoSO..1540088R. doi:10.1371/journal.pone.0240088. PMC 7546494. PMID 33035248.
  75. ^ Lev, Arlene Istar (17 July 2006). "Intersexuality in the Family: An Unacknowledged Trauma". Journal of Gay & Lesbian Psychotherapy. 10 (2): 27–56. doi:10.1300/J236v10n02_03.
  76. ^ a b Brömdal, Annette; Zavros-Orr, Agli; Hand, Kirstine; Hart, Bonnie (3 September 2021). "Towards a whole-school approach for sexuality education in supporting and upholding the rights and health of students with intersex variations". Sex Education. 21 (5): 568–583. doi:10.1080/14681811.2020.1864726.
  77. ^ a b Muñoz, Ercio; Saavedra, Melanie; Sansone, Dario (2025-04-30). Schneider, Eric (ed.). "The lives of intersex people: Socioeconomic and health disparities in Mexico". PNAS Nexus. 4 (5): pgaf126. doi:10.1093/pnasnexus/pgaf126. ISSN 2752-6542. PMC 12048708. PMID 40321419.
  78. ^ Falhammar, Henrik; Claahsen-van der Grinten, Hedi; Reisch, Nicole; Slowikowska-Hilczer, Jolanta; Nordenström, Anna; Roehle, Robert; Bouvattier, Claire; Kreukels, Baudewijntje P C; Köhler, Birgit (March 2018). "Health status in 1040 adults with disorders of sex development (DSD): a European multicenter study". Endocrine Connections. 7 (3): 466–478. doi:10.1530/EC-18-0031. PMC 5861372. PMID 29490934.
  79. ^ a b c "Health and wellbeing of people with intersex variations". Health.vic. State of Victoria, Department of Health and Human Services. March 2019. Archived from the original on 2024-08-20. Retrieved 2024-08-01.
  80. ^ a b c Babu, Ramesh; Shah, Utsav (February 2021). "Gender identity disorder (GID) in adolescents and adults with differences of sex development (DSD): A systematic review and meta-analysis". Journal of Pediatric Urology. 17 (1): 39–47. doi:10.1016/j.jpurol.2020.11.017. PMID 33246831.
  81. ^ a b c Hughes, I A (14 June 2005). "Consensus statement on management of intersex disorders". Archives of Disease in Childhood. 91 (7): 554–563. doi:10.1136/adc.2006.098319. PMC 2082839. PMID 16624884.
  82. ^ a b Kamazima, Switbert Rwechungura (2023-10-08). "Intersexuality: What Primary and Specialized Healthcare Providers Should Know and Do to End Cosmetic and Harmful Medical Practices on Infants and Children Born with Intersex Variations in Tanzania". EAS Journal of Nursing and Midwifery. 5 (05): 77–89. doi:10.36349/easjnm.2023.v05i05.004. ISSN 2663-0966.
  83. ^ Czyzselska, Jane (2021). "The truth that's denied: Psychotherapy with LGBTIQ+ clients who identify as intersex". Psychology of Sexualities Review. 12 (1): 20–33. doi:10.53841/bpssex.2021.12.1.20.
  84. ^ a b Ernst, Michelle M.; Liao, Lih-Mei; Baratz, Arlene B.; Sandberg, David E. (August 2018). "Disorders of Sex Development/Intersex: Gaps in Psychosocial Care for Children". Pediatrics. 142 (2). doi:10.1542/peds.2017-4045. PMC 6317541. PMID 30045929.
  85. ^ a b c Baratz, Arlene B.; Sharp, Melissa K.; Sandberg, David E. (2014). "Disorders of Sex Development Peer Support". Understanding Differences and Disorders of Sex Development (DSD). Endocrine Development. Vol. 27. pp. 99–112. doi:10.1159/000363634. ISBN 978-3-318-02558-3. PMID 25247648.
  86. ^ a b de Vries, Annelou L.C.; Roehle, Robert; Marshall, Louise; Frisén, Louise; van de Grift, Tim C.; Kreukels, Baudewijntje P.C.; Bouvattier, Claire; Köhler, Birgit; Thyen, Ute; Nordenström, Anna; Rapp, Marion; Cohen-Kettenis, Peggy T. (September 2019). "Mental Health of a Large Group of Adults With Disorders of Sex Development in Six European Countries". Psychosomatic Medicine. 81 (7): 629–640. doi:10.1097/PSY.0000000000000718. PMC 6727927. PMID 31232913.
  87. ^ a b Reineberg, Andrew E.; Eckstrand, Kristen L.; Flatt, Jason D. (15 October 2024). "Exploring the relationship between cognition and mental health in intersex participants in the UK Biobank study". The Clinical Neuropsychologist. 39 (3): 702–722. doi:10.1080/13854046.2024.2414478. PMC 11997161. PMID 39410749.
  88. ^ Hong, D. S.; Reiss, A. L. (May 2012). "Cognition and behavior in Turner syndrome: a brief review". Pediatric Endocrinology Reviews. 9 Suppl 2 (2): 710–712. PMC 4285374. PMID 22946281.
  89. ^ a b Reimann, Gabrielle E.; Comis, Leora E.; Bernad Perman, Martha M. (April 2020). "Cognitive Functioning in Turner Syndrome: Addressing Deficits Through Academic Accommodation". Women's Health Reports. 1 (1): 143–149. doi:10.1089/whr.2019.0019. PMC 7325492. PMID 32617534.
  90. ^ Boada, Richard; Janusz, Jennifer; Hutaff-Lee, Christa; Tartaglia, Nicole (January 2009). "The cognitive phenotype in Klinefelter syndrome: A review of the literature including genetic and hormonal factors". Developmental Disabilities Research Reviews. 15 (4): 284–294. doi:10.1002/ddrr.83. PMC 3056507. PMID 20014369.
  91. ^ a b Davis, Shanlee; Howell, Susan; Wilson, Rebecca; Tanda, Tanea; Ross, Judy; Zeitler, Philip; Tartaglia, Nicole (August 2016). "Advances in the Interdisciplinary Care of Children with Klinefelter Syndrome". Advances in Pediatrics. 63 (1): 15–46. doi:10.1016/j.yapd.2016.04.020. PMC 5340500. PMID 27426894.
  92. ^ a b Kennedy, Aileen (2016). "Fixed at Birth: Medical and Legal Erasures of Intersex Variations" (PDF). University of New South Wales Law Journal. 39 (2): 813–842.
  93. ^ a b c d Buyukunal, Cenk; Zeller, Kristen A.; Emre, Senol; Nakayama, Don K. (2021-02-01). "The history of surgery in disorders of sexual development". Journal of Pediatric Surgery. 56 (2): 429–433. doi:10.1016/j.jpedsurg.2020.09.056. ISSN 0022-3468. PMID 33384143.
  94. ^ Markantes, Georgios K.; Deligeoroglou, Efthimios; Armeni, Anastasia K.; Vasileiou, Vasiliki; Damoulari, Christina; Mandrapilia, Angelina; Kosmopoulou, Fotini; Keramisanou, Varvara; Georgakopoulou, Danai; Creatsas, George; Georgopoulos, Neoklis A. (2015-07-01). "Callo: The first known case of ambiguous genitalia to be surgically repaired in the history of Medicine, described by Diodorus Siculus". Hormones. 14 (3): 459–461. doi:10.14310/horm.2002.1608. ISSN 2520-8721. PMID 26188239.
  95. ^ Al-Benna, Sammy (2012-05-01). "Albucasis, a tenth-century scholar, physician and surgeon: His role in the history of plastic and reconstructive surgery". European Journal of Plastic Surgery. 35 (5): 379–387. doi:10.1007/s00238-011-0637-3. ISSN 1435-0130.
  96. ^ Michaleas, Spyros N. (2020). "Serefeddin Sabuncuoglu: A pioneer surgeon of the Ottoman Era". Erciyes Medical Journal. doi:10.14744/etd.2020.10476.
  97. ^ a b c d von Wahl, Angelika (12 November 2021). "From Object to Subject: Intersex Activism and the Rise and Fall of the Gender Binary in Germany". Social Politics: International Studies in Gender, State & Society. 28 (3): 755–777. doi:10.1093/sp/jxz044.
  98. ^ Fusco, Giuseppe; Minelli, Alessandro (February 2023). "Descriptive versus causal morphology: gynandromorphism and intersexuality". Theory in Biosciences. 142 (1): 1–11. doi:10.1007/s12064-023-00385-1. PMC 9925516. PMID 36633802.
  99. ^ a b c d e f g Indig, Gnendy; Serrano, Mariana; Dalke, Katharine B.; Ejiogu, Nwadiogo I.; Grimstad, Frances (September 2021). "Clinician Advocacy and Intersex Health: A History of Intersex Health Care and the Role of the Clinician Advocate Past, Present, and Future". Pediatric Annals. 50 (9): e359 – e365. doi:10.3928/19382359-20210816-01. PMID 34542337.
  100. ^ a b c d Griffiths, David Andrew (March 2018). "Diagnosing sex: Intersex surgery and 'sex change' in Britain 1930–1955". Sexualities. 21 (3): 476–495. doi:10.1177/1363460717740339. PMC 5836525. PMID 29568226.
  101. ^ Carlson, Laura M.; Vora, Neeta L. (June 2017). "Prenatal Diagnosis". Obstetrics and Gynecology Clinics of North America. 44 (2): 245–256. doi:10.1016/j.ogc.2017.02.004. PMC 5548328. PMID 28499534.
  102. ^ Forest, Maguelone G.; David, Michel; Morel, Yves (April 1993). "Prenatal diagnosis and treatment of 21-hydroxylase deficiency". The Journal of Steroid Biochemistry and Molecular Biology. 45 (1–3): 75–82. doi:10.1016/0960-0760(93)90125-G. PMID 8481354.
  103. ^ Castro, Vic (2024-04-01). "Mechanical sex, science, security: Intersex medical violence, Thomas Hobbes and John Money's invention of gender". Security Dialogue. 55 (2): 142–159. doi:10.1177/09670106231194918. ISSN 0967-0106.
  104. ^ a b Eckert, Lena (2017). Intersexualization: the clinic and the colony. Routledge advances in critical diversities. New York: Routledge/Taylor & Francis Group. ISBN 978-1-138-19330-7.
  105. ^ Rubin, David A. (2012). ""An Unnamed Blank That Craved a Name": A Genealogy of Intersex as Gender". Signs. 37 (4): 883–908. doi:10.1086/664471. ISSN 0097-9740. JSTOR 10.1086/664471.
  106. ^ "What's the history behind the intersex rights movement? | Intersex Society of North America". isna.org. Retrieved 2025-03-17.
  107. ^ a b Knight, Kyle (2017-07-25). ""I Want to Be Like Nature Made Me"". Human Rights Watch.
  108. ^ Uslan, Samantha (2010-01-01). "What Parents Don't Know: Informed Consent, Marriage, and Genital-Normalizing Surgery on Intersex Children". 85 Indiana Law Journal 301 (2010). 85 (1). ISSN 0019-6665.
  109. ^ Haller, Karen B. (1998). "When John Became Joan". Journal of Obstetric, Gynecologic, & Neonatal Nursing. 27 (1): 11. doi:10.1111/j.1552-6909.1998.tb02582.x. ISSN 1552-6909. PMID 9475120.
  110. ^ "Who was David Reimer (also, sadly, known as John/Joan)? | Intersex Society of North America". isna.org. Retrieved 2025-03-18.
  111. ^ a b Them (2018-12-04). "What Does It Mean to Be Intersex?". Them. Retrieved 2025-03-18.
  112. ^ "Pacific Center for Sex and Society - Sex, Gender, and Identity over the Years: A changing perspective". www.hawaii.edu. Retrieved 2025-03-18.
  113. ^ Wills, Matthew (2024-08-18). "Defining and Redefining Intersex". JSTOR Daily. Retrieved 2025-03-18.
  114. ^ "Pacific Center for Sex and Society - Intersex/Hermaphrodite". www.hawaii.edu. Retrieved 2025-03-18.
  115. ^ Hegarty, Peter; Vaughan, Sam (March 2024). "Intersex in the USA's Best-Selling Undergraduate Psychology Textbooks: Uneven Critique in an Ongoing Scientific and Ethical Crisis". Sex Roles. 90 (3): 475–489. doi:10.1007/s11199-024-01456-3.
  116. ^ Greenberg, Julie (May 2003). "Legal Aspects of Gender Assignment". The Endocrinologist. 13 (3): 277–286. doi:10.1097/01.ten.0000081686.21823.9d.
  117. ^ Danon, Limor Meoded (January 2019). "Comparing contemporary medical treatment practices aimed at intersex/DSD bodies in Israel and Germany". Sociology of Health & Illness. 41 (1): 143–164. doi:10.1111/1467-9566.12812. PMID 30182487.
  118. ^ "Ambiguous Sex--or Ambivalent Medicine? | Intersex Society of North America". isna.org. Retrieved 2025-03-18.
  119. ^ Natarajan, Anita (February 15, 1996). "Medical ethics and truth telling in the case of androgen insensitivity syndrome". Canadian Medical Association Journal. 154 (4): 568–570. PMC 1487631. PMID 8630847.
  120. ^ "Hermaphrodites with Attitude Take to the Streets | Intersex Society of North America". isna.org. Retrieved 2025-03-18.
  121. ^ Valentine, David; Wilchins, Riki Anne (1997). "One Percent on the Burn Chart: Gender, Genitals, and Hermaphrodites with Attitude". Social Text (52/53): 215–222. doi:10.2307/466740. ISSN 0164-2472. JSTOR 466740.
  122. ^ "First ever international intersex forum agrees common platform – InterAction". interaction.org.au. 2011-09-05. Retrieved 2025-07-06.
  123. ^ "The International Intersex Forum will re..." ILGA World. 2021-08-30. Retrieved 2025-07-06.
  124. ^ Have, Miriam van der. "Malta Statement". Seksediversiteit.nl. Retrieved 2025-07-06.
  125. ^ Have, Miriam van der (2018-03-30). "Regional declarations". Thisisintersex.org. Retrieved 2025-07-06.
  126. ^ Haghighat, Darius; Berro, Tala; Torrey Sosa, Lillian; Horowitz, Kayla; Brown-King, Bria; Zayhowski, Kimberly (July 2023). "Intersex people's perspectives on affirming healthcare practices: A qualitative study". Social Science & Medicine. 329 116047. doi:10.1016/j.socscimed.2023.116047. PMID 37390680.
  127. ^ a b c d Berry, Adeline W.; Monro, Surya (31 December 2022). "Ageing in obscurity: a critical literature review regarding older intersex people". Sexual and Reproductive Health Matters. 30 (1). doi:10.1080/26410397.2022.2136027. PMC 9704076. PMID 36369786.
  128. ^ "Background Note on Human Rights Violations against Intersex People". United Nations Human Rights Office of the High Commissioner. October 24, 2019. Archived from the original on August 8, 2024. Retrieved August 8, 2024.
  129. ^ a b "Intersex and medicalized rape" (PDF). United Nations Human Rights Office of the High Commissioner. December 30, 2020. Archived (PDF) from the original on June 15, 2024. Retrieved August 9, 2024.
  130. ^ Wang, Jeremy C; Dalke, Katharine B; Nachnani, Rahul; Baratz, Arlene B; Flatt, Jason D (16 November 2023). "Medical Mistrust Mediates the Relationship Between Nonconsensual Intersex Surgery and Healthcare Avoidance Among Intersex Adults". Annals of Behavioral Medicine. 57 (12): 1024–1031. doi:10.1093/abm/kaad047. PMID 37616560.
  131. ^ Conn, Jennifer; Gillam, Lynn; Conway, Gerard S. (2005-09-15). "Revealing the diagnosis of androgen insensitivity syndrome in adulthood". BMJ. 331 (7517): 628–630. doi:10.1136/bmj.331.7517.628. ISSN 0959-8138. PMC 1215563. PMID 16166136.
  132. ^ a b c d e Bates, Nancy; Chin, Marshall; Becker, Tara, eds. (2022). Measuring Sex, Gender Identity, and Sexual Orientation. doi:10.17226/26424. ISBN 978-0-309-27510-1. PMID 35286054.
  133. ^ Kress, Alissa C.; Asberry, Asia; Taillepierre, Julio Dicent; Johns, Michelle M.; Tucker, Pattie; Penman-Aguilar, Ana (January 2021). "Collection of Data on Sex, Sexual Orientation, and Gender Identity by U.S. Public Health Data and Monitoring Systems, 2015–2018". International Journal of Environmental Research and Public Health. 18 (22): 12189. doi:10.3390/ijerph182212189. PMC 8621287. PMID 34831945.
  134. ^ Zeeman, Laetitia; Aranda, Kay (January 2020). "A Systematic Review of the Health and Healthcare Inequalities for People with Intersex Variance". International Journal of Environmental Research and Public Health. 17 (18): 6533. doi:10.3390/ijerph17186533. PMC 7559554. PMID 32911732.
  135. ^ King, Dillon E. (22 July 2022). "The Inclusion of Sex and Gender Beyond the Binary in Toxicology". Frontiers in Toxicology. 4. doi:10.3389/ftox.2022.929219. PMC 9355551. PMID 35936387.
  136. ^ Leslie, K.; Edgley, C.; Lee, A.C.-Y.; Sellar, A.; Sgroi, J.; Toh, R. (May 2018). "Reporting of sex and gender in human studies published in anaesthesia journals". British Journal of Anaesthesia. 120 (5): 1128–1130. doi:10.1016/j.bja.2017.11.097. PMID 29661390.
  137. ^ Brenna, Connor T.A. (April 2021). "Limits of mice and men: Underrepresenting female and intersex patients in anaesthesia research". Trends in Anaesthesia and Critical Care. 37: 2–5. doi:10.1016/j.tacc.2021.01.001.
  138. ^ Bauer, Markus; Truffer, Daniela; Crocetti, Daniela (2 July 2020). "Intersex human rights" (PDF). The International Journal of Human Rights. 24 (6): 20. doi:10.1080/13642987.2019.1671354.
  139. ^ Cools, Martine; Cheng, Earl Y.; Hall, Joanne; Alderson, Julie; Amies Oelschlager, Anne-Marie; Balen, Adam H.; Chan, Yee-Ming; Geffner, Mitchell E.; Gravholt, Claus H.; Güran, Tülay; Hoebeke, Piet; Lee, Peter; Magritte, Ellie; Matos, Dina; McElreavey, Ken; Meyer-Bahlburg, Heino F.L.; Rink, Richard C.; Springer, Alexander; Szymanski, Konrad M.; Vilain, Eric; Williams, Jo; Wolffenbuttel, Katja P.; Sandberg, David E.; Subramaniam, Ramnath (12 February 2024). "Multi-Stakeholder Opinion Statement on the Care of Individuals Born with Differences of Sex Development: Common Ground and Opportunities for Improvement". Hormone Research in Paediatrics. 98 (2): 226–242. doi:10.1159/000536296. PMC 11965812. PMID 38310850.
  140. ^ a b Thyen, Ute; Lux, Anke; Jürgensen, Martina; Hiort, Olaf; Köhler, Birgit (August 2014). "Utilization of Health Care Services and Satisfaction with Care in Adults Affected by Disorders of Sex Development (DSD)". Journal of General Internal Medicine. 29 (S3): 752–759. doi:10.1007/s11606-014-2917-7. PMC 4124114. PMID 25029980.
  141. ^ a b Khan, Alam; Fahad, T. M.; Manik, Md Imran Nur; Ali, Hazrat; Ashiquazzaman, Md.; Mollah, Md Ibrahim; Zaman, Tanjeena; Islam, Md Shariful; Rahman, Moizur; Rahman, Aminur; Rahman, Mostafizur; Naz, Tarannum; Pavel, Mahmud Arif; Khan, Md. Nuruzzaman (August 18, 2020). "Barriers in access to healthcare services for individuals with disorders of sex differentiation in Bangladesh: an analysis of regional representative cross-sectional data". BMC Public Health. 20 (1) 1261. doi:10.1186/s12889-020-09284-2. ISSN 1471-2458. PMC 7437164. PMID 32811451.
  142. ^ a b Hegarty, Peter (February 2023). "The psychology of people with variable sex characteristics/intersex". Current Opinion in Psychology. 49 101539. doi:10.1016/j.copsyc.2022.101539. PMID 36610363.
  143. ^ Bennecke, Elena; Werner-Rosen, Knut; Thyen, Ute; Kleinemeier, Eva; Lux, Anke; Jürgensen, Martina; Grüters, Annette; Köhler, Birgit (October 2015). "Subjective need for psychological support (PsySupp) in parents of children and adolescents with disorders of sex development (dsd)". European Journal of Pediatrics. 174 (10): 1287–1297. doi:10.1007/s00431-015-2530-8. PMID 25869494.
  144. ^ a b Magritte, Ellie; Williams, Jo; Amyot, Emma; Usipuik, Megan; Sanders, Caroline (2023). "Listening to Individuals with Differences in Sex Development or Intersex and Their Families: 'Not Doing Surgery Does Not Mean Doing Nothing'". Hormone Research in Paediatrics. 96 (2): 228–237. doi:10.1159/000525452. PMID 35691284.
  145. ^ a b "National LGBT Survey: Summary report". GOV.UK. Archived from the original on 2018-07-03. Retrieved 2024-08-11.
  146. ^ Sanders, Caroline; Amyot, Emma; Usipuik, Megan; Crawford, Leigh; Callens, Nina; Chanoine, Jean-Pierre; Jones, Tiffany (April 2022). "Lifespan healthcare transitions among individuals with intersex traits in Canada: a mixed-methods and qualitative study". BMJ Open. 12 (4): e055759. doi:10.1136/bmjopen-2021-055759. PMC 8996003. PMID 35396291.
  147. ^ Warne, Garry; Bhatia, Vijayalakshmi (2006), Sytsma, Sharon E. (ed.), "Intersex, East and West", Ethics and Intersex, Dordrecht: Springer Netherlands, p. 191, doi:10.1007/1-4220-4314-7_11, ISBN 978-1-4020-4314-7, retrieved 2025-07-11
  148. ^ Gambiza, Pearl; Venganai, Hellen (2024). "Navigating the rights of intersex children in Zimbabwe". Children & Society. n/a (n/a). doi:10.1111/chso.12854. ISSN 1099-0860.
  149. ^ Tell, Shoshana (2016-03-02). "Intersex Management in the United States and Non-Western Cultures". Einstein Journal of Biology and Medicine. 30 (1&2): 6. doi:10.23861/EJBM201530633. ISSN 1559-5498.
  150. ^ "Unnecessary Surgery on Intersex Children Must Stop". PHR. 2017-10-20. Archived from the original on 2024-08-20. Retrieved 2024-08-08.
  151. ^ "US: Harmful Surgery on Intersex Children | Human Rights Watch". 2017-07-25. Archived from the original on 2019-04-26. Retrieved 2024-08-08.
  152. ^ a b c Editorial (2017-04-20). "Statement of the 1st European Intersex Community Event (Vienna, 30st - 31st of March 2017)". OII Europe. Archived from the original on 2024-11-23. Retrieved 2024-11-30.
  153. ^ a b c "What is the agenda of the intersex patient advocacy movement? | Intersex Society of North America". isna.org. Retrieved 2024-08-08.
  154. ^ Ravesloot, Saskia Caroline Irene (2024-06-28). "The Universal Periodic Review and the Ban on Intersex Genital Mutilation in an African Context". Social Sciences. 13 (7): 349. doi:10.3390/socsci13070349. ISSN 2076-0760.
  155. ^ "Intersex South Africa (ISSA) | South African History Online". sahistory.org.za. Retrieved 2025-07-13.
  156. ^ "Activists building an Intersex Movement in Asia". RFSL. 2021-06-30. Retrieved 2025-07-13.
  157. ^ "Intersex Justice Project | A framework for intersex justice". Intersex Justice Project. Archived from the original on 2024-08-04. Retrieved 2024-11-30.
  158. ^ Have, Miriam van der. "91 – Not curable". Seksediversiteit.nl. Retrieved 2025-07-07.
  159. ^ "Malta Declaration". OII Europe. Retrieved 2025-07-07.
  160. ^ "Intersex-Affirming Hospital Policy Guide: Providing Ethical and Compassionate Health Care to Intersex Patients". Lambda Legal Legacy. Retrieved 2024-11-30.
  161. ^ a b "Researching intersex populations – Intersex Human Rights Australia". ihra.org.au. 2012-05-25. Retrieved 2024-11-30.
  162. ^ "Inclusion guide to respecting people with intersex variations" (PDF). Intersex Human Rights Australia.
  163. ^ "interACT Policy on Participation in Research". interACT: Advocates for Intersex Youth. Archived from the original on 2024-12-04. Retrieved 2024-11-30.

Further reading

  • Gleeson, Juliana (2025). Hermaphrodite Logic: A History of Intersex Liberation. Verso Books. ISBN 978-1-83976-094-5.