Epidermoid cyst

Epidermoid cyst
Epidermal cyst on the neck, inflamed
SpecialtyDermatology Edit this on Wikidata
Relative incidence of cutaneous cysts, where epidermoid cysts constitute a plurality (blue area).

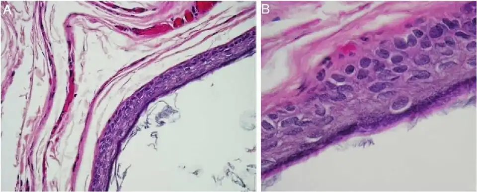
An epidermoid cyst or epidermal inclusion cyst[1] is a benign cyst usually found on the skin. The cyst develops out of ectodermal tissue. Histologically, it is made of a thin layer of squamous epithelium.

Signs and symptoms

The epidermoid cyst may have no symptoms, or it may be painful when touched. It can release macerated keratin. In contrast to pilar cysts, epidermoid cysts are usually present on parts of the body with relatively little hair.[2] Some vaginal cysts are epidermoid cysts.[3]

Although they are not malignant, there are rare cases of malignant tumors arising from an epidermoid cyst.[4] Epidermal inclusion cysts account for approximately 85–95% of all excised cysts; malignant transformation is exceedingly rare. The incidence of squamous cell carcinoma developing from an epidermal inclusion cyst has been estimated to range from 0.011 to 0.045%.[5]

Diagnosis

Epidermoid cysts are usually diagnosed when a person notices a bump on their skin and seeks medical attention. The definitive diagnosis is made after excision by a pathologist based on microscopic appearance of a cystic lesion lined by cornified epithelium containing lamellated keratin without calcifications. They can also be seen as isointense lesions on MRI or hyperintensities on FLAIR.

Treatment

Cysts can be removed by excision.[6]

In case of fronto-ethmoidal epidermoid cysts, surgical resection appears to be the mainstay of treatment; however, the extent of resection is dictated by adherence of the tumor capsule to the surrounding vital structures.[7]

Hydrogen peroxide gel (H2O2) was previously recommended for cyst treatment, particularly those on body piercings. However the gel cannot adequately permeate the cyst and was not found to be effective.[8] Hydrogen peroxide is no longer recommended for wound care by doctors as it can damage the healing tissues.[9]

On body piercings, self treatment with a hot saline soak to help drain the cyst and the use of an antibacterial or medicated talcum powder to help dry out the bump and reduce bacterial proliferation is generally recommended until medical advice can be obtained.[10] (Use of talc is no longer recommended due to recently discovered associations with multiple cancers.) Piercings, however, are more likely to be victims of hypertrophic scarring than a cyst. Cheek piercings seem to be the piercing most prone to cysts due to the possible interruption of saliva ducts.

Terminology

Several synonyms exist for epidermoid cysts, including epidermal cyst, infundibular cyst, keratin cyst and epidermal inclusion cyst[11][12]: 778 [13] Epidermal inclusion cyst more specifically refers to implantation of epidermal elements into the dermis. The term infundibular cyst refers to the site of origin of the cyst: the infundibular portion of the hair follicle. The majority of epidermal inclusion cysts originate from the infundibular portion of the hair follicle, thus explaining the interchangeable,[14] yet inaccurate, use of these two terms.

Epidermoid cyst may be classified as a sebaceous cyst,[15] although technically speaking it is not sebaceous.[16] "True" sebaceous cysts, cysts which originate from sebaceous glands and which contain sebum, are relatively rare and are known as steatocystoma simplex or, if multiple, as steatocystoma multiplex. Medical professionals have suggested that the term sebaceous cyst be avoided since it can be misleading.[17]: 31  In practice, however, the term is still often used for epidermoid and pilar cysts.

Additional images

See also

References

  1. ^ "Epidermal inclusion cyst information Diseases Database". www.diseasesdatabase.com. 17 February 2018.
  2. ^ "cysts - British Association of Dermatologists". Archived from the original on 2008-01-10. Retrieved 2007-11-14.
  3. ^ Philippe E. Zimmern; Peggy A. Norton; , François Haab; Christopher R. Chapple, eds. (2006). Vaginal Surgery for Incontinence and Prolapse. Springer Science & Business Media. p. 271. ISBN 1-85233-912-8. Retrieved March 2, 2018.
  4. ^ Jehle KS, Shakir AJ, Sayegh ME (2007). "Squamous cell carcinoma arising in an epidermoid cyst". British Journal of Hospital Medicine. 68 (8): 446. doi:10.12968/hmed.2007.68.8.24499. PMID 17847698.
  5. ^ Frank, Ethan; Macias, David; Hondorp, Brian; Kerstetter, Justin; Inman, Jared C. (2018). "Incidental Squamous Cell Carcinoma in an Epidermal Inclusion Cyst: A Case Report and Review of the Literature". Case Reports in Dermatology. 10 (1): 61–68. doi:10.1159/000487794. ISSN 1662-6567. PMC 5903124. PMID 29681810.
  6. ^ "Minimal excision technique for removal of an epidermoid cyst". Am Fam Physician. 65 (7): 1423–4. 2002. PMID 11996427. Archived from the original on 2008-07-06. Retrieved 2007-11-15.
  7. ^ Khan, Hina Abdul Qayoom; Sobani, Zain A; Siddiqui, Arshad A (2011). "Epidermoid Cysts in the Frontal Lobe - A Case Series". Journal of Pakistan Medical Students. 1 (3): 95–99. ProQuest 922251775.
  8. ^ Graziani, F; Vano, M; Tartaro, G; Fanelli, G; Gabriele, M (2003). "The use of hydrogen peroxide in the experimental therapy of cysts. An in vitro analysis". Minerva Stomatologica. 52 (7–8): 373–7, 378–80. PMID 14608258.
  9. ^ Walsh, L. J. (2000). "Safety issues relating to the use of hydrogen peroxide in dentistry". Australian Dental Journal. 45 (4): 257–69, quiz 289. doi:10.1111/j.1834-7819.2000.tb00261.x. PMID 11225528.
  10. ^ "Cysts | the Body Poetry Piercing Clinic". Archived from the original on 2014-04-23. Retrieved 2014-04-21.
  11. ^ Melton, Jason R. Swanson and Jeffrey L. "Epidermoid cyst". www.meddean.luc.edu.
  12. ^ Freedberg, et al. (2003). Fitzpatrick's Dermatology in General Medicine. (6th ed.). McGraw-Hill. ISBN 0-07-138076-0.
  13. ^ James, William; Berger, Timothy; Elston, Dirk (2005). Andrews' Diseases of the Skin: Clinical Dermatology. (10th ed.). Saunders. ISBN 0-7216-2921-0.
  14. ^ "Epidermoid cyst". Retrieved 2007-11-14.
  15. ^ "Epidermoid and pilar cysts (previously known as sebaceous cysts)". British Association of Dermatologists. Archived from the original on February 5, 2016. Retrieved April 2, 2014.
  16. ^ "Epidermoid and Pilar Cysts (Sebaceous Cysts) - Patient UK". Archived from the original on 2013-07-06. Retrieved 2013-03-04.
  17. ^ Neville BW, Damm DD, Allen CA, Bouquot JE (2002). Oral & maxillofacial pathology (2nd ed.). Philadelphia: W.B. Saunders. ISBN 978-0-7216-9003-2.